0才から12歳頃の
こどもの矯正治療
(乳幼児・離乳期・一期矯正)
このような習慣が続いてしまうとアゴが上手く成長しないため、歯並びが悪化してしまう可能性があります。
歯並びが悪くなる理由には遺伝子的要因と環境による原因が考えられます。

お口回りの筋肉の誤った使い方

あごの骨の未発達

姿勢の悪さ

間違った舌の位置

指吸いなどの癖

遺伝的要因
現代は5人中4人のお子さまに歯列不正やアゴの発育不全があるといわれています。最近の研究では、筋機能の低下や不正によるロ呼吸・舌癖などがアゴの発育不全の原因として明らかになっています。また、アレルギーや長期間の指しゃぶりも発育不全を生み出す原因になります。このように歯やお口の発育は、舌・頬・唇を含めた全ての機能から大きな影響を受けてしまうのです。
歯列不正にはいろいろな種類がありますが、その中でもよくあるお子さまの歯列不正による歯並びの種類を紹介します。

重なり合って歯並びがでこぼこになったり、ねじれてしまっている状態。アゴが小さく、歯が並ぶスペースが足りないことが原因となるケースが多いです。

上の前歯が前方向に傾斜し、横から見た時に上の歯並びが前に出ている状態。アゴの発育バランスが悪いケースや、下唇を咬むくせが原因となる場合があります。

下の前歯が強く前に傾斜し、下の歯並びが前に出ている状態。下の前歯を舌で押す癖や、遺伝やアゴの発育バランスが原因です。

噛み合わせた時に前歯にすき間ができている状態。乳児嚥下の残存、長期の指しゃぶり、口呼吸などが原因となります。

お口を閉じるときに上下の前歯の先端どうしが、先に当たってしまう状態。この状態が続くと、噛み合わせがズレてきたり、顎関節症を併発したり、歯ぐきが下ってしまったりなど、様々なリスクがあります。

上の前歯が下の前歯を覆い隠してしまう歯並びです。下アゴの動きが制限される可能性が高く、アゴの関節に必要以上の負担をかけて、顎関節症を誘発することもあります。
(乳児期・幼児期・学童期)
従来、歯並びは遺伝的な要因が大きいと考えられ、矯正治療はアゴの成長が終了してから行うことが主流でしたが、近年では、お口のまわりの筋肉が正しく使えているかが歯並びに大きく影響するということが証明されております。そこで、お口の体操や口腔習癖を改善することからはじまり、子ども用のマウスピース装置(Myobrace,EF Line,プレオルソなど)を使い、歯並びやアゴの成長を妨げる根本的な原因を幼いうちからアプローチすることで、こどもの本来の正しいアゴの発達を促して歯並びを整えることが可能です。
口腔筋機能療法(保険内治療)
お口の筋肉のバランスを整え、お子さま本来の歯並びや嚙み合わせに導くプレ矯正的な役割を果たします。早期に介入するほど効果が高く、全てのお子さまに受けて頂きたい療法です。
歯列矯正用咬合誘導装置(保険外診療)
こどもに合わせたオリジナルのマウスピース型の装置を利用。取り外しができ、平日1時間程度と就寝時に装着すればOK
歯並びや噛み合わせは、実は「歯」そのものだけでなく、歯を支える「顎(あご)」の成長バランスによって決まります。
将来、歯並びや噛み合わせに問題が生じる原因の多くは、この顎のスペース不足です。
そこで大切になってくるのが、顎の成長をできるだけ良い方向に導いてあげること。そうすることで、将来的に自然にきれいな歯並びや噛み合わせが整う可能性がぐっと高まります。
上の図は「スキャモンの発育曲線」という、有名な発育モデルです。
この図の通り、上顎の成長は10歳頃までに約90%が完了し、そのピークはなんと0〜6歳の間に訪れます。その後は成長のスピードが緩やかになっていきます。
つまり、なるべく小さいうちから、顎の成長にとって良い生活習慣を身につけることが、将来の歯並びや噛み合わせを良くするために非常に大切なのです。
理想的には、0歳から正しい哺乳や離乳食を通じて、正しい咀嚼(かむこと)・嚥下(飲み込むこと)・呼吸の習慣を身につけることが大切です。
そのうえで、4歳頃からはお口の機能を高める「プレ矯正(咬合誘導)」によって、機能面から顎の健全な成長をサポートします。
そして、上顎の成長がほぼ完了する8〜10歳頃には、歯と顎の大きさのバランスを見極め、スペースが不足している場合には「小児矯正(1期治療)」により、機械的に顎の成長をサポートします。
もちろん、成人になってから歯並びや噛み合わせを矯正すること(2期治療)は可能です。しかしその場合は、
・健康な歯を抜いたり削ったりする
・小児矯正より痛みが出やすい
・治療期間・費用ともにおよそ2倍かかる
・後戻りしやすい
などのデメリットもあります。
このように、なるべく早くから口腔育成を始めることで、自然ときれいな歯並び・噛み合わせを手に入れられる可能性が高まり、将来のメリットが大きくなります。
決して「絶対にやらなければならない」というものではありませんが、
お子さまの将来のために、今できることがあれば…とお考えの方は、
ぜひ一度、お気軽にご相談ください。
歯並びや口腔機能の問題を根本的に改善し、将来的な歯科矯正の必要性を減らすことが目的です。
Myobrace,EF line,プレオルソなど、子ども用の既製のマウスピース装置は、歯並びの改善や顎の発達を促すための機能的な矯正装置です。特に、小児の成長期の子どもたちを対象に使用され、従来のワイヤー矯正とは異なり、口腔筋機能療法を組み合わせて、悪い習慣(口呼吸や舌の位置など)を改善することで、自然な顎と歯の成長を促します。主な目的は、正しい呼吸、舌の位置、飲み込み方、唇の閉じ方などを習慣化させることで、歯並びや口腔機能の問題を根本的に改善し、将来的な歯科矯正の必要性を減らすことです。
Term
3歳~12歳ごろの期間
※矯正期間は症状や矯正箇所によって違いがあります。
Price
歯列矯正用咬合誘導装置:88,000円
(2枚目以降:22,000円)
※価格は素材などにより異なります。
お子さま一人ひとりに合わせたオーダーメイドの矯正装置を作成し、顎の成長誘導と噛み合わせの改善を行います。
一期矯正治療とは、子どもの矯正治療の中で、乳歯と永久歯が混在する6歳から12歳頃に行われる早期の治療を指します。この時期は、顎の成長や歯並びに問題がある場合、それを早期に改善することが目的です。一期矯正治療では、顎の成長を促し、歯が正しく並ぶためのスペースを確保します。また、指しゃぶりや口呼吸など、歯並びに悪影響を及ぼす悪い癖を改善し、正しい舌の位置や呼吸方法を習得させることも重要な要素です。この早期治療を行うことで、永久歯が適切な位置に生えてくるのを助け、将来的な歯列不正を予防する効果があります。
Term
6歳~12歳ごろの期間
※矯正期間は症状や矯正箇所によって違いがあります。
Price
1期矯正治療:440,000円
※検査診断料55,000円及び保定装置代22,000円が別途かかります
※矯正治療中は再診料(自費処置料)として¥3,300/回が加算されます。
Schedule

初回の診察では、おこさまへの悩みやご要望を丁寧にお聞きし、歯並びやお口の健康状態を確認いたします。その後、治療の内容や期間、費用についても詳しくご説明し、一人ひとりに合わせたプランを慎重に立てていきます。

説明を受けた後、じっくりご検討ください。当日その場で結論をだすのも可能ですし、日にちを置いてじっくり検討するのももちろん大丈夫です。長い期間をかけて治療をしていきますので納得いくまでご相談、ご検討してください。

レントゲン撮影やお口の写真撮影など資料取りを行い、マウスピースや拡大床装置など一人ひとりに合わせて治療計画を立てます。

年齢や状態によって、使用する矯正装置の種類や矯正期間などは様々です。お子様一人ひとりに合わせて適切な時期に最適な装置を使いながら矯正治療を進めていきます。

治療終了後は定期的に歯並び噛み合わせの経過観察を行い、後戻りや変化が見られるようであれば、追加で矯正装置を使う場合もあります。
Past Case
歯列矯正用咬合誘導装置(ムーシールド)
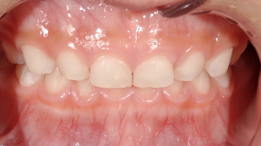
主訴:7歳の男の子で、上の前歯が下の前歯の内側(反対咬合)に入っています。
治療内容:歯列矯正用咬合誘導装置(ムーシールド)を使用して反対咬合の改善を目指しました。


| 治療期間 | 6ヶ月 |
| 通院回数 | 3回 |
| 治療費 | 88,000円と 調整料3,300円✕3回 |
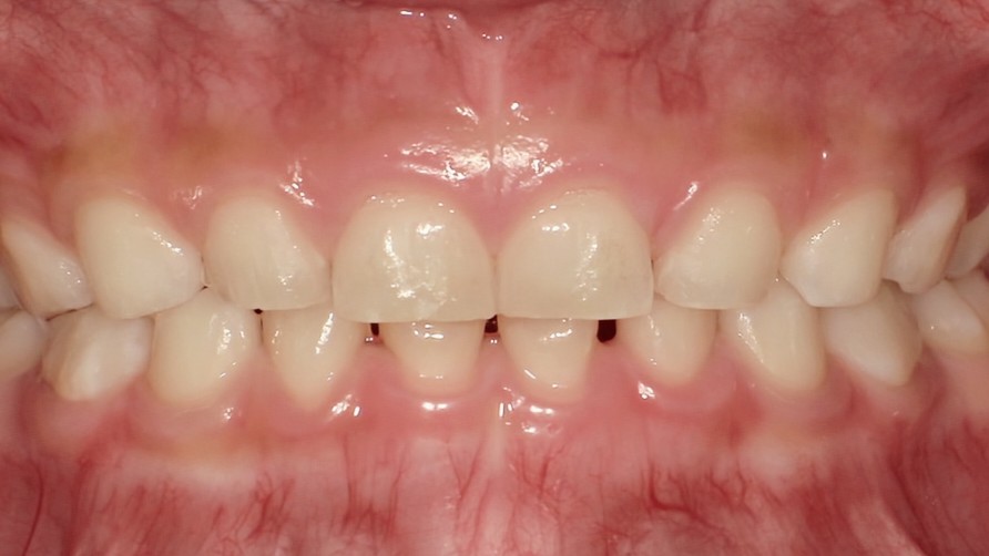
治療結果:装置を使い始めて6ヶ月で正常咬合へと改善されました。
一般的なリスクと副作用:取り外し式の装置なので、協力度合いが低いと成果が出ません。歯の動きに個人差があり、全てのケースにおいて必ずしも効果が出るとは限らず、特に遺伝性の不正咬合の場合、追加で従来の歯列矯正治療が必要となる可能性が高いです。ある程度、継続して使用しないと後戻りするリスクがあり、原因となっている習慣や癖を一緒に改善する必要があります。
歯列矯正用咬合誘導装置(EFライン)
主訴:10歳の女の子で、上の前歯が下の前歯に被さっています(過蓋咬合)
治療内容:歯列矯正用咬合誘導装置(EFライン)を使用して過蓋咬合の改善を目指しました。


| 治療期間 | 6ヶ月 |
| 通院回数 | 6回 |
| 治療費 | 88,000円と 調整料3,300円✕6回 |
治療結果:装置を使い始めて6ヶ月で過蓋咬合が改善しました。
一般的なリスクと副作用:取り外し式の装置なので、協力度合いが低いと成果が出ません。歯の動きに個人差があり、全てのケースにおいて必ずしも効果が出るとは限らず、特に遺伝性の不正咬合の場合、追加で従来の歯列矯正治療が必要となる可能性が高いです。ある程度、継続して使用しないと後戻りするリスクがあり、原因となっている習慣や癖を一緒に改善する必要があります。
歯列矯正用咬合誘導装置(プレオルソ)
主訴:7歳の女の子で、上の前歯と下の前歯の正中線がずれています。
治療内容:歯列矯正用咬合誘導装置(プレオルソ)を使用して開咬の改善を目指しました。


| 治療期間 | 9ヶ月 |
| 通院回数 | 4回 |
| 治療費 | 88,000円と 調整料3,300円✕4回 |
治療結果:装置を使い始めて9ヶ月で上下前歯が揃ってきました。
一般的なリスクと副作用:取り外し式の装置なので、協力度合いが低いと成果が出ません。歯の動きに個人差があり、全てのケースにおいて必ずしも効果が出るとは限らず、特に遺伝性の不正咬合の場合、追加で従来の歯列矯正治療が必要となる可能性が高いです。ある程度、継続して使用しないと後戻りするリスクがあり、原因となっている習慣や癖を一緒に改善する必要があります。
歯列矯正用咬合誘導装置(EFライン)
主訴:8歳の女の子で、上下の前歯がデコボコしています。
治療内容:歯列矯正用咬合誘導装置(EFライン)を使用して叢生の改善を目指しました。


| 治療期間 | 10ヶ月 |
| 通院回数 | 6回 |
| 治療費 | 88,000円と 調整料3,300円✕6回 |
治療結果:装置を使い始めて10ヶ月で叢生が改善しました。
一般的なリスクと副作用:取り外し式の装置なので、協力度合いが低いと成果が出ません。歯の動きに個人差があり、全てのケースにおいて必ずしも効果が出るとは限らず、特に遺伝性の不正咬合の場合、追加で従来の歯列矯正治療が必要となる可能性が高いです。ある程度、継続して使用しないと後戻りするリスクがあり、原因となっている習慣や癖を一緒に改善する必要があります。
歯列矯正用咬合誘導装置(プレオルソ)
主訴:5歳の女の子で、噛み合わせが深く、顎が小さく、上下ともに乳歯の閉鎖歯列がみられます。
治療内容:歯列矯正用咬合誘導装置(プレオルソ)を使用して過蓋咬合・閉鎖歯列の改善を目指しました。


| 治療期間 | 9ヶ月 |
| 通院回数 | 3回 |
| 治療費 | 88,000円 |
治療結果:装置を使い始めて9ヶ月で舌側に倒れていた上下の歯が唇側に傾斜し、顎のスペースが広がって、過蓋咬合及び閉鎖歯列の改善傾向がみられます。
一般的なリスクと副作用:取り外し式の装置なので、協力度合いが低いと成果が出ません。歯の動きに個人差があり、全てのケースにおいて必ずしも効果が出るとは限らず、特に遺伝性の不正咬合の場合、追加で従来の歯列矯正治療が必要となる可能性が高いです。ある程度、継続して使用しないと後戻りするリスクがあり、原因となっている習慣や癖を一緒に改善する必要があります。
歯列矯正用咬合誘導装置(プレオルソ)
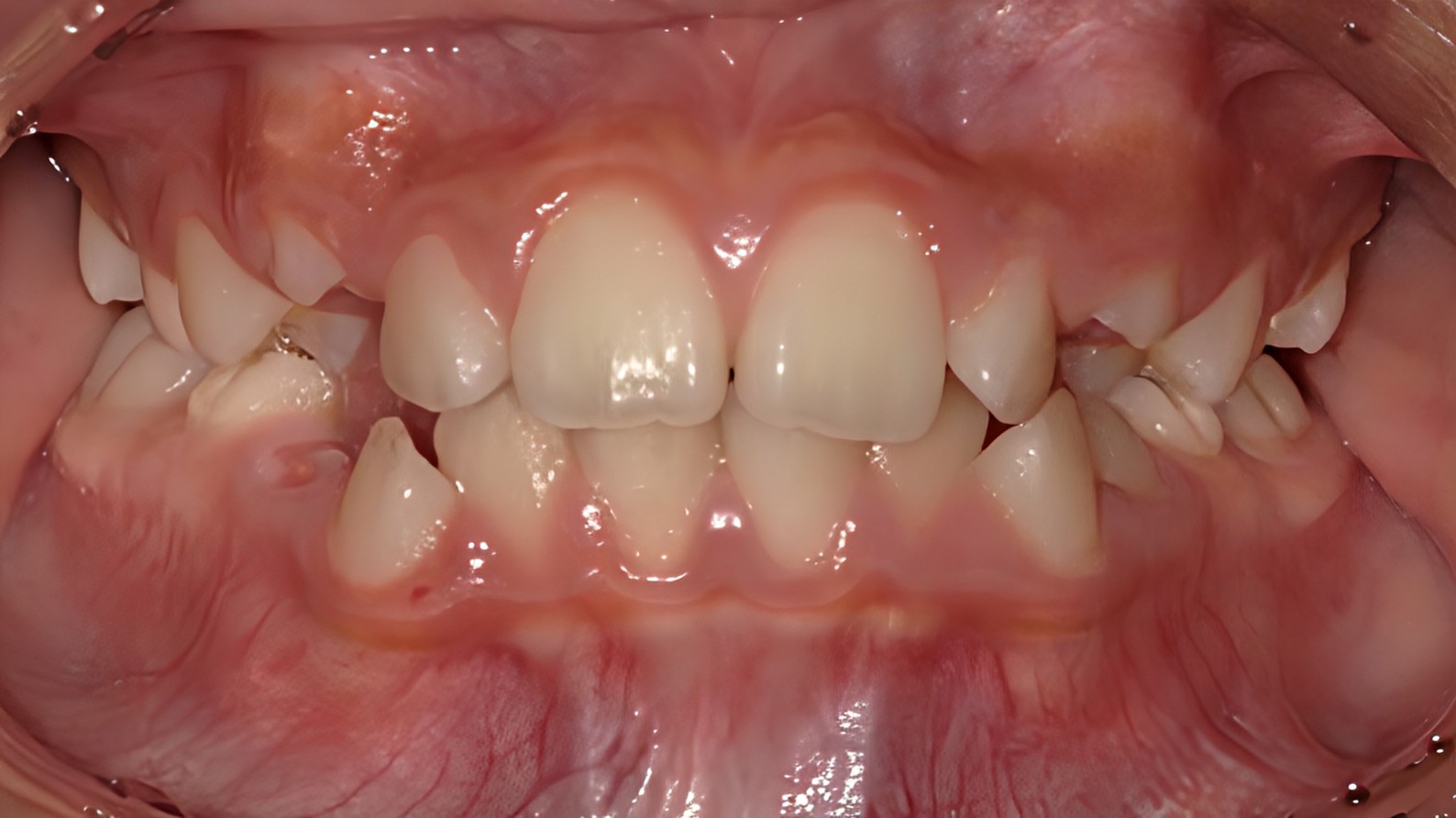
主訴:10歳の女の子で、上下の前歯の歯並びがデコボコしていることを気にされて来院されました。
治療内容:歯並びや噛み合わせの状態から、Ⅰ期矯正治療が適していることをご説明しました。そのうえで、ご家族のご希望により、歯列矯正用咬合誘導装置を用いて、できる範囲での治療を行うこととなりました。治療の特性上、十分な改善が得られない可能性があることもお伝えし、ご理解いただいたうえで治療を開始しました。


| 治療期間 |
1年半 |
| 通院回数 | 6回 |
| 治療費 | 88,000円 |
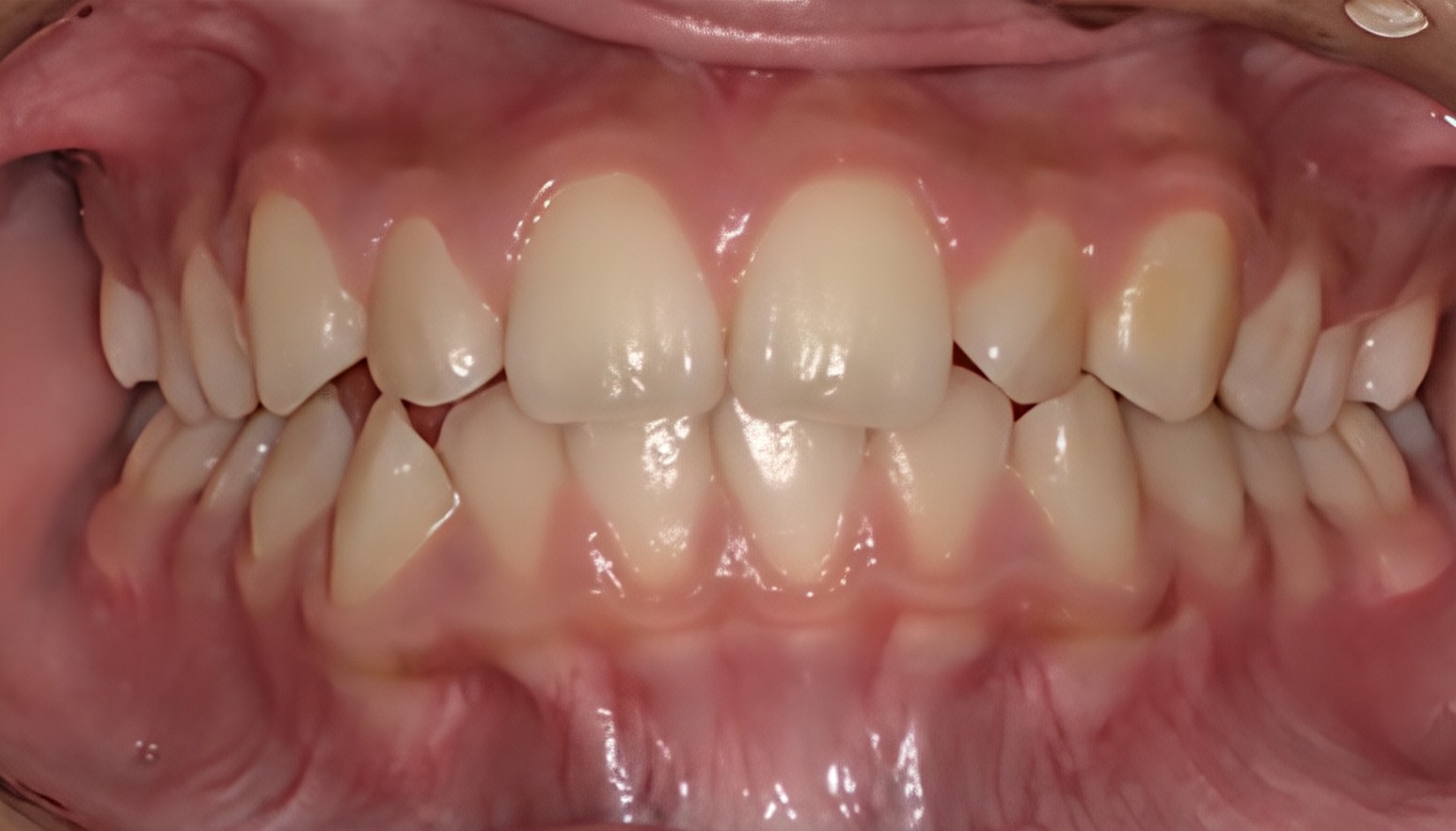
治療結果:上下ともに、歯並びのデコボコはある程度改善がみられました。一方で、歯の捻れや傾きが強い部分については、歯並びが一部残る結果となりました。治療の経過や結果についてご本人・保護者の方ともにご理解とご納得をいただき、今回の治療は終了となりました。
ヘッドギアとブラケット矯正装置
主訴:8歳の男の子で、上下の前歯がデコボコしています。
治療内容:ヘッドギアとブラケット矯正装置(2×4)を使用して叢生の改善を目指しました。
| 治療期間 | 2年 |
| 通院回数 | 24回 |
| 治療費 | 44万円と 調整料3,300円✕24回 |
治療結果:装置を使い始めて2年で叢生が改善されました。
一般的なリスクと副作用:ご自宅で使用していただく装置ですので、協力度合いが低いと成果が出ません。歯の動きに個人差があり、全てのケースにおいて必ずしも効果が出るとは限らず、特に遺伝性の不正咬合の場合、1期矯正のみで治療を完結させることは困難で、2期矯正が必要となります。治療後は保定装置を使う必要があり、また原因となっている習慣や癖を一緒に改善する必要があります。
上下拡大床装置とブラケット矯正装置
主訴:8歳の女の子で、上下の前歯がデコボコしていて、噛み合わせも深いです。
治療内容:上下拡大床装置とブラケット矯正装置(2×4)を使用して叢生と過蓋咬合の改善を目指しました。
| 治療期間 | 2年半 |
| 通院回数 | 30回 |
| 治療費 | 44万円と 調整料3,300円✕30回 |
治療結果:装置を使い始めて2年半で叢生と過蓋咬合が改善されました。
一般的なリスクと副作用:ご自宅で調整しながら使用していただく装置ですので、協力度合いが低いと成果が出ません。歯の動きに個人差があり、全てのケースにおいて必ずしも効果が出るとは限らず、特に遺伝性の不正咬合の場合、1期矯正のみで治療を完結させることは困難で、2期矯正が必要となります。治療後は保定装置を使う必要があり、また原因となっている習慣や癖を一緒に改善する必要があります。
予防歯科・小児歯科・矯正歯科
大原歯科医院
| 診療時間 | 月 | 火 | 水 | 木 | 金 | 土 | 日 |
|---|---|---|---|---|---|---|---|
| 09:00-13:00 | 〇 | 〇 | 〇 | − | 〇 | 〇 | − |
| 15:00-18:30 | 〇 | 〇 | 〇 | − | 〇 | △ | − |
休診日:木曜・日曜・祝日 △土曜17:30迄
詳しいスケジュールはこちら
■当院は完全予約制です
ご予約の方は、Web予約をご利用いただくか、お急ぎの場合はお電話にてご連絡ください